Mission
Lo Studio Odontoiatrico Specialistico di Ortodonzia si occupa della cura delle malocclusioni dentali e scheletriche dell’adulto e del bambino.
Particolare attenzione, inoltre, viene prestata all’utilizzo di tecniche invisibili nella cura dei pazienti adulti.
Gallery
Formazione
2004: Laurea in Odontoiatria e Protesi Dentaria presso l’Università degli Studi di Genova discutendo la tesi “Ortodonzia Linguale: valutazione radiografica del riassorbimento radicolare a carico di incisivi di pazienti parodontopatici”.
2005: Corso di Perfezionamento in Odontologia e Odontoiatria Forense presso l’Università degli Studi di Milano.
2006: Master Internazionale di II Livello in “Ortodonzia Linguale” presso l’Università degli Studi di Ferrara.
2006: ”STB Light Lingual System Orthodontic Course” Dr Giuseppe Scuzzo, Dr Kyoto Takemoto. Roma, 7-8 luglio 2006.
2008: Certificazione Invisalign.
2010: Specializzazione in Ortognatodonzia presso l’Università Cattolica del Sacro Cuore di Roma discutendo la tesi “Valutazione radiografica del riassorbimento radicolare in pazienti parodontopatici trattati per intrusione con tecnica vestibolare o linguale”.
2010: Certificazione Orapix.
2010: Certificazione Incognito.
2014: Dottorato di Ricerca in Morfometria Analitica presso l’Università degli Studi di Bari.
2014: Socio Effettivo Accademia Italiana di Ortodonzia (AIdOr), Model Display Maggio 2014, Bologna.
2015: Socio Ordinario Società Italiana di Ortodonzia (SIDO), Model Display Ottobre 2015, Milano.
2016: Certificazione Alias – Ormco, Bologna Ottobre 2016.
2017: Diplomato EBO (European Board of Orthodontics), Montreaux (CH) Giugno 2017.
Socio ASIO (Associazione Italiana Specialisti in Ortodonzia) ed EOS (European Orthodontist Society).
Consigliere AIOL (Associazione Italiana Ortodonzia Linguale) 2014-2016 e 2017-2019.
Relatore ed Istruttore ai corsi del Dott. Davide Mirabella dal 2014.
Autore di varie pubblicazioni e relatore a congressi nazionali ed internazionali.
Libero professionista esclusivista in ortodonzia presso il proprio studio in Voghera (PV).
Relazioni scientifiche e attività di speaker
“Ortodonzia Linguale: dall’arco a forma di fungo al Lingual Straight Wire” XXIII SIDO International Congress – Roma, 10 Novembre 2011.
“Straight Wire” Update Course “Rising Stars in Orthodontics”, University of Ferrara, 21 march 2014.
“Corso di Tecnica Straight Wire” Annual Course in Orthodontics Dr. A. Davide Mirabella, Speaker and Tutor. Febbraio-Novembre 2014.
“Corso di Tecnica Straight Wire” Annual Course in Orthodontics Dr. A. Davide Mirabella, Speaker and Tutor. Febbraio-Novembre 2015.
“Corso di Tecnica Straight Wire” Annual Course in Orthodontics Dr. A. Davide Mirabella, Speaker and Tutor. Febbraio-Novembre 2016.
“Corso di Tecnica Straight Wire” Master Course, Università di Napoli, Dr. A. Davide Mirabella, Speaker, 27-28 May 2016.
“Corso di Tecnica Straight Wire” Annual Course in Orthodontics Dr. A. Davide Mirabella, Speaker andTutor. Febbraio-October 2017.
“Corso di Tecnica Straight Wire” Master Course, Università di Roma Tor Vergata, Dr. A. Davide Mirabella, Speaker, 16-17 June 2017.
“Corso di Tecnica Straight Wire” Annual Course in Orthodontics, Speaker and Tutor. June-November 2017.
“Tecnica SWM” serata Andi Pavia. Invited Speaker. July 6th, 2017.
“Social Six: a simplified lingual orthodontics approach” AIOL (Italian Association of Lingual
Orthodontics) course. Invited Speaker. July 7th, 2017.
Ortodonzia del bambino/adolescente in Fase I
L’età migliore per sottoporre un paziente ad una visita con lo specialista in Ortodonzia è a partire dai 5-6 anni.
L’ortodonzia nel bambino, chiamata anche ortodonzia intercettiva o funzionale (o fase I), ha come scopo la correzione di disarmonie prevalentemente di natura scheletrica.
I principali obiettivi sono:
- Armonizzare la crescita scheletrica
- Favorire l’eruzione di tutti i denti permanenti.
Gallery
Ortodonzia del bambino/adolescente in Fase II
Se il paziente adolescente ha completato la permuta, si valuterà la necessità di un trattamento ortodontico di allineamento e coordinazione dei rapporti tra le arcate dentarie, per migliorare la funzione masticatoria e raggiungere un’estetica ottimale del sorriso.
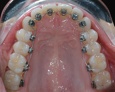
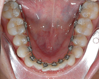
Per raggiungere questi scopi vengono utilizzate apparecchiature fisse costituite da brackets e fili metallici.
Per i pazienti che lo richiedono è possibile utilizzare brackets meno visibili ( in ceramica o resine trasparenti) oppure è possibile affrontare un trattamento ortodontico con sistemi completamente invisibili come Invisalign o apparecchio linguale.
Gallery
Ortodonzia dell'Adulto
Negli ultimi anni sono sempre di più gli adulti che richiedono trattamenti ortodontici.
Ciò è legato alla sempre maggior attenzione che le persone hanno per il proprio aspetto fisico e l’estetica del sorriso rappresenta un particolare a cui si attribuisce sempre più importanza.
Inoltre, esistono oggi apparecchiature poco visibili (Invisalign) o invisibili (apparecchio linguale) che ben si adattano alle esigenze estetiche e sociali del paziente adulto.
Gallery
Apparecchio linguale
Altri casi documentati su AIOL
Ortodonzia linguale
L’apparecchio linguale viene applicato sulla superficie interna (linguale) dei denti e risulta quindi invisibile dall’esterno.
Con questo tipo di trattamento ortodontico è possibile quindi correggere la posizione dei denti senza che nessuno se ne accorga.
Gallery
Apparecchio linguale
Altri casi documentati su AIOL
INVISALIGN è un apparecchio invisibile che attraverso una serie di allineatori trasparenti permette di guidare i denti verso l’allineamento.
Ciascun allineatore viene utilizzato per circa 2 settimane prima di essere sostituito da quello successivo, finché non si raggiunge la posizione finale stabilita.
Gli allineatori, praticamente invisibili, sono realizzati in un materiale termoplastico per uso medico molto resistente e sono prodotti appositamente per il sistema di trattamento Invisalign. Gli allineatori sono realizzati su misura per te e si adattano perfettamente alla tua bocca.
A differenza degli apparecchi metallici fissi, con Invisalign avrai la possibilità di mangiare e bere ciò che desideri durante il trattamento togliendo semplicemente gli allineatori. Inoltre potrai rimuovere gli allineatori per lavarti i denti e passare il filo interdentale, come faresti di solito per rinfrescare l’alito e mantenere una buona igiene orale.
INVISALIGN TEEN
Invisalign Teen è l’alternativa trasparente per il paziente adolescente agli apparecchi tradizionali.
Invisalign Teen si avvale della stessa tecnologia di Invisalign, tuttavia, poiché gli adolescenti (e le loro bocche) sono in costante trasformazione, le mascherine presentano alcune caratteristiche speciali come gli indicatori di collaborazione che, cambiando di colore, danno indicazioni sulla compliance del piccolo paziente.
Poiché gli allineatori Invisalign Teen possono essere rimossi, interferiscono in modo davvero minimo sulla normale vita quotidiana. I pazienti possono quindi continuare a lavarsi i denti, passare il filo interdentale ed effettuare una normale igiene orale durante il trattamento.
Gallery
Casi Clinici
1 - 22
<
>
Info e S.o.S.
In questa sezione è possibile trovare i consigli e i suggerimenti per la corretta gestione dell’apparecchio ortodontico che ti è stato applicato.
Apparecchio fisso
SOS:
- Fastidio e/o dolore (da 1 a 4 giorni) dopo l’applicazione dell’apparecchio: può essere controllato con l’utilizzo di un blando antidolorifico già utilizzato.
- Piccole escoriazioni della mucosa interna delle guance e delle labbra: Si può utilizzare della cera ortodontica per coprire la parte dell’apparecchio che punge e ha creato il problema.
- Se dovesse staccarsi una piastrina si prega di conservarla e di portarla all’appuntamento successivo.
Igiene orale in corso di trattamento:
- Spazzolare i denti dopo ogni pasto.
- Utilizzare spazzolini ortodontici, scovolini e filo interdentale (Super Floss Oral-B).
- Utilizzare collutorio al fluoro.
Alimentazione in corso di trattamento:
- Evitare cibi duri o croccanti per evitare il distacco dei brackets.
Espansore rapido
Maschera di Delaire
Contenzione fissa o mobile
ESPANSORE RAPIDO
• L’apparecchio deve essere attivato 1 volta al giorno (preferibilmente la sera) con la sua chiavetta per il numero dei giorni che le sono stati comunicati dall’Ortodontista. Ogni attivazione deve essere completa (1/4 di giro) fino alla comparsa del foro per l’attivazione successiva.
• Ad ogni attivazione il paziente potrebbe sentire un po’ di tensione sui denti o sul naso che durerà solo pochi minuti.
• Per i primi giorni è possibile che il paziente abbia un po’ di difficoltà di pronuncia e deglutizione che passeranno in breve tempo.
• Bisogna prestare molta attenzione alla pulizia dei denti e dell’espansore. E’ possibile che un po’ di cibo si fermi sotto l’apparecchio, in quel caso sarà solo sufficiente spazzolare bene e usare uno scovolino.
• Durante l’attivazione dell’espansore si aprirà uno spazio fra i denti anteriori che si chiuderà da solo. E’ il segnale che l’apparecchiatura sta funzionando.
• E’ consigliabile evitare cibi appiccicosi (chewing-gum, caramelle gommose, etc.) o cibi duri e croccanti (torrone, carote, crosta del pane, etc.) che possono favorire il distacco o la rottura dell’apparecchio.
• Prestare attenzione inoltre ai cibi come prosciutto, spinaci, spaghetti, mozzarella etc. che potrebbero “arrotolarsi” sui braccetti dell’espansore.
MASCHERA DI DELAIRE
• La maschera di Delaire deve essere portata secondo le indicazioni dell’Ortodontista.
• E’ importante non saltare nessun giorno per non compromettere il risultato raggiunto.
• L’applicazione degli elastici può determinare un leggero fastidio iniziale.
• In alcuni casi potrebbe essere necessario applicare un’imbottitura al supporto mentoniero e inserire un tessuto morbido a contatto con la pelle.
CONTENZIONE FISSA
La contezione fissa è un filo metallico incollato sulla superficie interna di alcuni denti.
• La sua applicazione garantisce il mantenimento dell’allineamento dei denti dopo la rimozione dell’apparecchio fisso.
• E’ estremamente importante che il paziente segua con scrupolo e diligenza le indicazioni dell’Ortodontista per mantenere nel tempo il risultato ottenuto.
• Se la contenzione si dovesse rompere o staccare è fondamentale ripararla il può velocemente possibile in quanto, in caso contrario, non è possibile assicurare il mantenimento del risultato.
• La contenzione fissa richiede un’igiene orale molto attenta, inoltre le sedute d’igiene professionale dovrebbero essere ogni 6 mesi.
CONTENZIONE MOBILE
Questo apparecchio serve a mantenere i denti allineati dopo che è stata rimosso l’apparecchio fisso.
• E’ estremamente importante che il paziente segua con scrupolo e diligenza le indicazioni dell’Ortodontista per mantenere il risultato ottenuto nel tempo.
• E’ fondamentale non saltare nessun giorno in quanto, subito dopo aver tolto l’apparecchio, i denti possono rispostarsi molto velocemente.
Se la contenzione non viene indossata con continuità non è possibile assicurarle il mantenimento del risultato. Inoltre, poichè che i denti potrebbero muoversi, la placca potrebbe non posizionarsi più correttamente. In questo caso va rifatta e ciò aggiunge un
costo non preventivato nel trattamento.
• Per evitare di perdere la placca di contenzione, quando non è in bocca, occorre riporla nel sua contenitore; se venisse smarrita o rotta sarà necessario rifarla e questo aggiungerebbe un costo non preventivato.
• Per la pulizia occorre sciacquarla sotto l’acqua tiepida con sapone neutro e spazzolino. Per disinfettarla immergerla in una soluzione diluita di Amuchina. In alternativa è possibile utilizzare compresse effervescenti per la pulizia degli apparecchi ortodontici.
Area medici
Lo Studio Odontoiatrico Specialistico di Ortodonzia si avvale della collaborazione interdisciplinare di colleghi Odontoiatri e Medici.
Se vuole riferire un paziente per una visita Ortodontica o vuole inviare la sua documentazione la preghiamo di utilizzare il seguente indirizzo di posta elettronica medici@drcalabro.com o compilare il form sottostante.
Grazie
Contatti
Studio Odontoiatrico Specialistico di Ortodonzia
Via Pezzani 37
27058 Voghera (PV)
Tel. 0383.270526
info@drcalabro.com
Parcheggi:
via Pezzani
Autoporto Città di Voghera (100 metri) (Link)
Piazza San Bovo (200 metri)
Piazza Duomo (300 metri)
Collegamenti:
Voghera è facilmente raggiungibile mediante auto e treno da:
Milano (58 km) mediante autostrada A7 Milano – Genova, uscita Casei Gerola, oppure treno direttrice Milano-Genova (percorrenza circa 40 minuti).
Pavia (25 km) mediante SS35 e SP1, oppure treno direttrice Milano-Genova (percorrenza circa 15 minuti).
Alessandria (35 km) mediante autostrada A21 Torino – Piacenza, uscita Voghera, oppure treno direttrice Torino-Piacenza (percorrenza circa 30-35 minuti).
Invia un messaggio
>
Via Pezzani 37 27058 Voghera (PV)
Tel. 0383.270526
P.IVA IT02107740066