Via Pezzani 37  27058 Voghera (PV)
Tel. 0383.270526

P. IVA 02107740066

COOKIE E PRIVACY POLICY

Ortodonzia del bambino/adolescente in Fase I

L’età migliore per sottoporre un paziente ad una visita con lo specialista in Ortodonzia è a partire dai 5-6 anni.

L’ortodonzia nel bambino, chiamata anche ortodonzia intercettiva o funzionale (o fase I), ha come scopo la correzione di disarmonie prevalentemente di natura scheletrica.

I principali obiettivi sono:

- Armonizzare la crescita scheletrica

- Favorire l’eruzione di tutti i denti permanenti.

Gallery

Ortodonzia del bambino/adolescente in Fase II

Se il paziente adolescente ha completato la permuta, si valuterà la necessità di un trattamento ortodontico di allineamento e coordinazione dei rapporti tra le arcate dentarie, per migliorare la funzione masticatoria e raggiungere un’estetica ottimale del sorriso.

Per raggiungere questi scopi vengono utilizzate apparecchiature fisse costituite da brackets e fili metallici.

Per i pazienti che lo richiedono è possibile utilizzare brackets meno visibili ( in ceramica o resine trasparenti) oppure è possibile affrontare un trattamento ortodontico con sistemi completamente invisibili come Invisalign o apparecchio linguale.

Gallery

Ortodonzia dell'Adulto

Negli ultimi anni sono sempre di più gli adulti che richiedono trattamenti ortodontici.

Ciò è legato alla sempre maggior attenzione che le persone hanno per il proprio aspetto fisico e l’estetica del sorriso rappresenta un particolare a cui si attribuisce sempre più importanza.

Inoltre, esistono oggi apparecchiature poco visibili (Invisalign) o invisibili (apparecchio linguale) che ben si adattano alle esigenze estetiche e sociali del paziente adulto.

Gallery

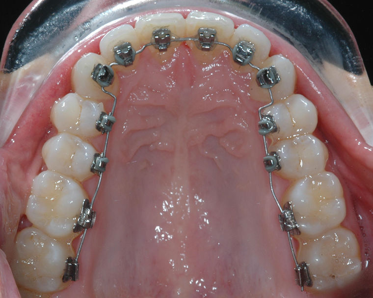
Apparecchio linguale

Altri casi documentati su AIOL

Ortodonzia linguale

L’apparecchio linguale viene applicato sulla superficie interna (linguale) dei denti e risulta quindi invisibile dall’esterno.

Con questo tipo di trattamento ortodontico è possibile quindi correggere la posizione dei denti senza che nessuno se ne accorga.

Gallery

INVISALIGN è un apparecchio invisibile che attraverso una serie di allineatori trasparenti permette di guidare i denti verso l’allineamento.

Ciascun allineatore viene utilizzato per circa 2 settimane prima di essere sostituito da quello successivo, finché non si raggiunge la posizione finale stabilita.

Gli allineatori, praticamente invisibili, sono realizzati in un materiale termoplastico per uso medico molto resistente e sono prodotti appositamente per il sistema di trattamento Invisalign. Gli allineatori sono realizzati su misura per te e si adattano perfettamente alla tua bocca.

A differenza degli apparecchi metallici fissi, con Invisalign avrai la possibilità di mangiare e bere ciò che desideri durante il trattamento togliendo semplicemente gli allineatori. Inoltre potrai rimuovere gli allineatori per lavarti i denti e passare il filo interdentale, come faresti di solito per rinfrescare l’alito e mantenere una buona igiene orale.

INVISALIGN TEEN

Invisalign Teen è l’alternativa trasparente per il paziente adolescente agli apparecchi tradizionali.

Invisalign Teen si avvale della stessa tecnologia di Invisalign, tuttavia, poiché gli adolescenti (e le loro bocche) sono in costante trasformazione, le mascherine presentano alcune caratteristiche speciali come gli indicatori di collaborazione che, cambiando di colore, danno indicazioni sulla compliance del piccolo paziente.

Poiché gli allineatori Invisalign Teen possono essere rimossi, interferiscono in modo davvero minimo sulla normale vita quotidiana. I pazienti possono quindi continuare a lavarsi i denti, passare il filo interdentale ed effettuare una normale igiene orale durante il trattamento.

 

Gallery

Apparecchio linguale

Altri casi documentati su AIOL

Casi Clinici

>